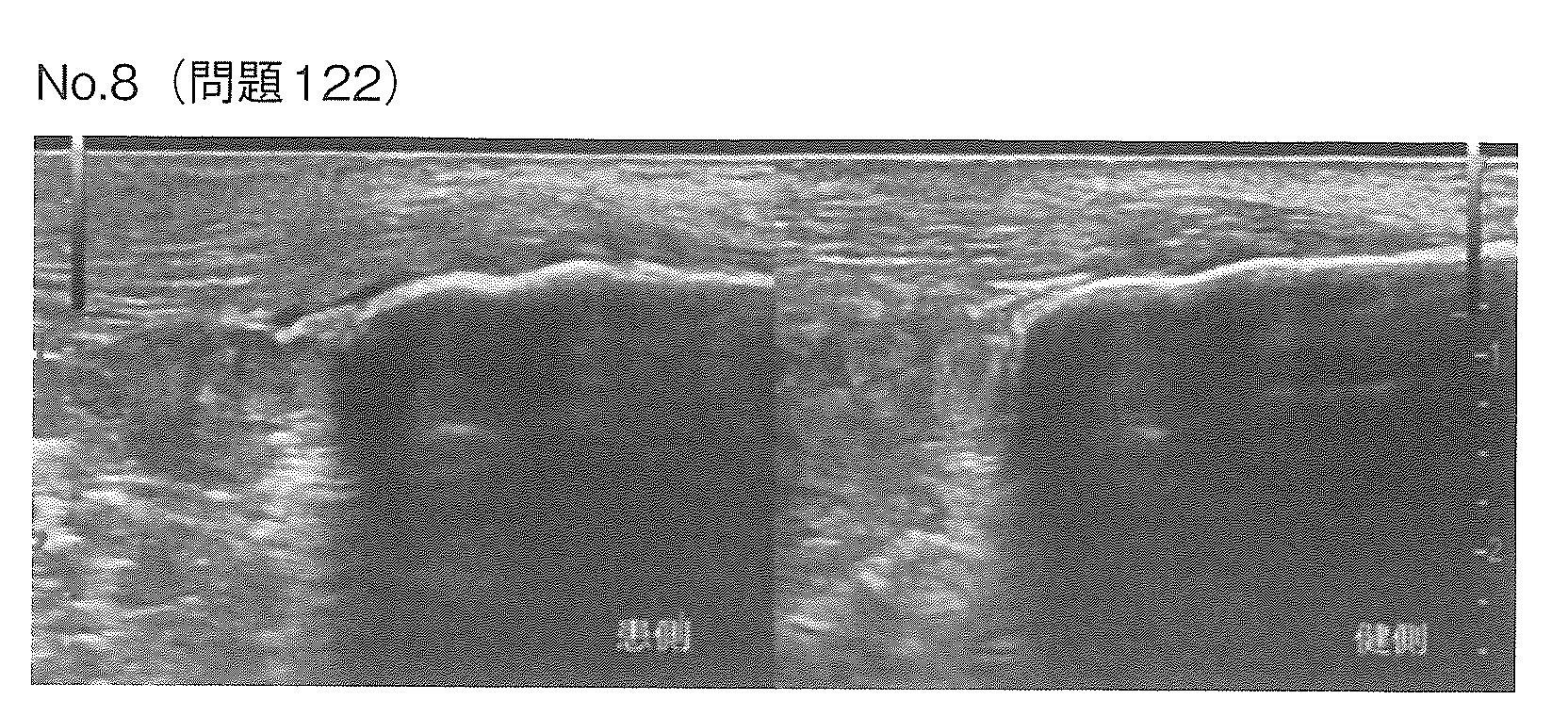
19歳男性。大学で野球部に所属している。入部後練習量が増え、ランニング後にアキレス腱部の痛みが生じる様になったため来所した。長軸超音波画像(別冊No.8)を別に示す。正しい画像所見はどれか。
正解!
不正解 答え 2
1→骨棘、骨化、明らかな血腫などの所見は画像からは指摘できません。
2→これはアキレス腱炎・周囲炎の典型的な所見であり、炎症により腱が腫脹している状態です。
3→1の解説参照
4→1の解説参照